Etiqueta: agudeza visual
Terapias innovadoras para la Atrofia Geográfica (DMAE seca avanzada)
14 Ene, 2025 | Atrofia Geográfica, Ensayos Clínicos
Terapias innovadoras para la Atrofia Geográfica (DMAE seca avanzada) que deberías conocer Breve...
Leer más¿Qué es la Agudeza Visual? ¿Cómo se mide la agudeza visual?
20 Dic, 2024 | GLOSARIO
¿Qué es la Agudeza Visual? ¿Cómo se mide la agudeza visual? La agudeza visual es la capacidad de...
Leer másDetección temprana de la pérdida de visión en la degeneración macular relacionada con la edad (DMAE)
25 Jul, 2024 | Atrofia Geográfica, DMAE Degeneración Macular
Detección temprana de la pérdida de visión en la degeneración macular relacionada con la edad...
Leer másMACUSTAR– DMAE Intermedia. Desarrollo de nuevas variables para ensayos clínicos con pacientes
7 Feb, 2024 | DMAE Degeneración Macular, Investigación
MACUSTAR– DMAE Intermedia. Desarrollo de nuevas variables para ensayos clínicos con pacientes con...
Leer másLa terapia génica MCO-010 para la retinosis pigmentaria obtiene la aprobación de las autoridades reguladoras
4 Feb, 2024 | Optogenética, Retinosis Pigmentaria
La terapia génica MCO-010 para la retinosis pigmentaria obtiene la aprobación de las autoridades...
Leer másOCU400 obtiene designación RMAT para tratar retinosis pigmentaria con mutaciones en RHO
21 Dic, 2023 | Amaurosis congénita de Leber, Retinosis Pigmentaria
La terapia OCU400 de Ocugen obtiene la designación de Terapia Avanzada de Medicina Regenerativa...
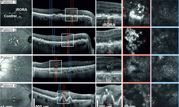
Leer másNuevos biomarcadores de la atrofia geográfica
1 Sep, 2023 | Atrofia Geográfica, DMAE Degeneración Macular
Nuevos biomarcadores de la atrofia geográfica La imagen multimodal es ahora la norma para...
Leer másLa Comisión Interministerial de Precios de los Medicamentos (CIPM) incluye Vabysmo (faricimab) para DMAE neovascular y Edema macular diabético en la cartera de servicios del SNS
26 Jul, 2023 | Dmae neovascular, Edema Macular
La Comisión Interministerial de Precios de los Medicamentos (CIPM) del 24 de julio de 2023 incluye...
Leer másRejuvenecimiento celular para enfermedades relacionadas con la edad
11 May, 2023 | Antienvejecimiento, EPIGENÉTICA
Rejuvenecimiento celular para enfermedades relacionadas con la edad El rejuvenecimiento celular se...
Leer másBionic Sight anuncia resultados positivos de la terapia optogenética BS01 para Retinosis Pigmentaria
22 Abr, 2023 | Optogenética, Retinosis Pigmentaria
Bionic Sight anuncia resultados positivos de la terapia optogenética BS01 para los pacientes con...
Leer más