BIENVENIDOS A LA WEB DE LA ASOCIACIÓN MÁCULA RETINA
La IA española STEP-AMD promete revolucionar el diagnóstico de la degeneración macular
La Universidad Politécnica de Madrid (UPM) y el Hospital Universitario Gregorio Marañón acaban de presentar un proyecto científico revolucionario que promete transformar el seguimiento y tratamiento de la degeneración macular asociada a la edad mediante sistemas de inteligencia artificial (IA)....
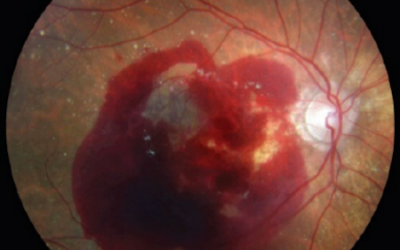
Euretina 2025: Los avances que vienen para las retinopatías (III)
La tecnología, las herramientas clínicas y la inteligencia artificial también tuvieron un papel preponderante entre los avances presentados en EURETINA 2025. Las innovaciones pueden transformar el diagnóstico y el manejo de las enfermedades retinianas. Samsara Vision: Resultados Clínicos del SING...
Colaboramos con profesionales oftalmólogos y en este caso con el tratamiento de pacientes con Enfermedad Ocular Tiroidea y presentamos unas encuestas sobre esta enfermedad que nos hacen llegar y a las que se puede acceder en los siguientes enlaces:
Encuesta para pacientes – Encuesta para cuidadores
Encuesta sobre la situación de la enfermedad en España
Nuestras Redes Sociales
DONACIONES QUE IMPORTAN
ÚNETE A MÁCULA RETINA
Objetivos
compromiso
NOTICIAS DMAE DEGENERACIÓN MACULAR
Roche obtiene el marcado CE de Contivue, para tratar la DMAE húmeda sin apenas pinchazos, y solicita autorización a la EMA para Susvimo, el fármaco que dispensará
Roche ha recibido el marcado CE de la Unión Europea para su plataforma de administración ocular Contivue, que incluye el implante que dispensará Susvimo para el tratamiento de la degeneración macular asociada a la edad húmeda. Este marcado CE constituye la...
Mácula Retina recibe el premio a una de las 100 mejores ideas del año de Actualidad Económica
¡Mácula Retina recibe el premio a una de las 100 mejores ideas del año de Actualidad Económica por el proyecto MiramosXTí! Estamos agradecidos e ilusionados de anunciar que nuestro proyecto #MiramosXTí, desarrollado por la asociación Mácula Retina junto a Bayer...
8 marzo 2025 Día Internacional de la Mujer
8 marzo 2025 Día Internacional de la Mujer Las mujeres y la ceguera: una brecha que va más allá de la biología Cuando hablamos de ceguera y discapacidad visual, pocas veces pensamos en la diferencia que puede haber entre hombres y mujeres. Sin embargo, los datos son...









