BIENVENIDOS A LA WEB DE LA ASOCIACIÓN MÁCULA RETINA
Nanoscope inicia la solicitud para la aprobación de la primera terapia génica agnóstica al gen para la retinosis pigmentaria
La compañía ha pedido a la FDA la autorización de MCO-010, un tratamiento que podría devolver visión a personas con RP sin importar su mutación genética. La aprobación podría llegar en 2026 Nanoscope Therapeutics ha comenzado el proceso para que la Agencia de Medicamentos de EE. UU. (FDA) apruebe...
Investigación en Portugal evalúa fármacos antidiabéticos como tratamiento para la DMAE
Un ensayo clínico pionero liderado por la Dra. Sandra Tenreiro en Lisboa probará en 140 pacientes el potencial de medicamentos para diabetes tipo 2 en el tratamiento de la degeneración macular asociada a la edad La degeneración macular asociada a la edad (DMAE) podría tener una nueva esperanza...
Colaboramos con profesionales oftalmólogos y en este caso con el tratamiento de pacientes con Enfermedad Ocular Tiroidea y presentamos unas encuestas sobre esta enfermedad que nos hacen llegar y a las que se puede acceder en los siguientes enlaces:
Encuesta para pacientes – Encuesta para cuidadores
Encuesta sobre la situación de la enfermedad en España
Nuestras Redes Sociales
DONACIONES QUE IMPORTAN
ÚNETE A MÁCULA RETINA
Objetivos
compromiso
NOTICIAS DMAE DEGENERACIÓN MACULAR
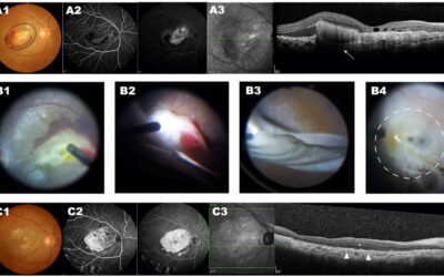
La eliminación segura de vasos sanguíneos anormales es clave para el éxito del trasplante celular en la DMAE húmeda
La eliminación segura de vasos sanguíneos anormales es clave para el éxito del trasplante celular en la DMAE húmeda El trasplante de células del epitelio pigmentario de la retina derivadas de células madre embrionarias humanas (hESC-RPE) ha mostrado un gran potencial...
Asociación entre los síntomas neuropsiquiátricos de la demencia y la discapacidad visual
Asociación entre los síntomas neuropsiquiátricos de la demencia y la discapacidad visual La discapacidad visual está asociada a alucinaciones, depresión, agitación y psicosis en pacientes con demencia. La doctora Melissa Li y el doctor Ali Hamedani, de la Facultad de...
Análisis de la discriminación en el acceso a tratamientos para la Atrofia geográfica en Europa
Análisis de la Discriminación en el Acceso a Tratamientos para la Atrofia Geográfica en Europa Evaluación de la discriminación en el acceso a tratamientos para la Atrofia geográfica en Europa: un análisis de las decisiones de la EMA sobre pegcetacoplan y la retirada...









