Colirio de Pilocarpina para tratar la presbicia solo es recomendable en casos especiales
El Colirio de Pilocarpina para tratar la presbicia solo es recomendable en casos especiales "La Pilocarpina es un medicamento muy conocido y usado desde antiguo como colirio en oftalmología, pues hace 40 años era el único tratamiento que teníamos para tratar el...
Ejercicios para mejorar la visión periférica
Ejercicios para mejorar la visión periférica Cuando oímos por primera vez que tenemos degeneración macular, nos preocupa que podamos perder la visión central y nos quedemos ciegos. Luego descubrimos que esta pérdida de visión progresa a una velocidad diferente para...
Reforzar la visión periférica DMAE
Reforzar la visión periférica DMAE Los afectados por la degeneración macular corremos el riesgo de perder parte o la totalidad de nuestra visión central con el avance de la enfermedad. En algún momento, podríamos llegar a depender de nuestra visión periférica para...
Ejercicios con discapacidad visual
Hacer ejercicios cuando se tiene discapacidad visual: una recomendación saludable. Ejercicios con discapacidad visual. La actividad física y deportiva puede ayudarle a mantener el peso corporal, potenciar la inmunidad y reducir el estrés. Introducción La actividad...
HyVIS: sinapsis híbridas para tratar las distrofias de la retina
HyVIS: sinapsis híbridas para tratar las distrofias de la retina HyVIS, el proyecto europeo coordinado por el IIT-Istituto Italiano di Tecnologia, está a punto de comenzar. Combinando la nanotecnología y la óptica, desarrollará sinapsis biónicas para prótesis de...
El plan estratégico 2021 del National Eye Institute: eliminación de la pérdida de visión y mejora de la calidad de vida
El plan estratégico 2021 del National Eye Institute: eliminación de la pérdida de visión y mejora de la calidad de vida "Los planes no valen nada, pero la planificación lo es todo". -Dwight D. Eisenhower A medida que se han producido avances sin...
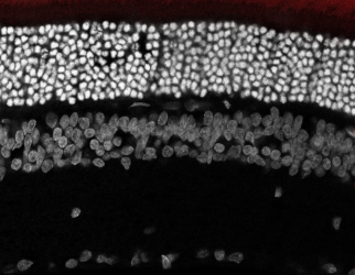
Soraprazan y repercusiones en el tratamiento de Stargardt y DMAE seca
Soraprazan y repercusiones en el tratamiento de Stargardt y DMAE seca Penetración, distribución y eliminación de remofuscina/soraprazan en los ojos de ratones afectados por la enfermedad de Stargardt tras una única inyección intravítrea mediante farmacocinética y...
Aspectos Generales de la Terapia Génica en DMAE
Aspectos Generales de la Terapia Génica en DMAE Video Conferencia del Dr. Héctor González Iglesias, Director del Grupo de Investigación de Genética Ocular y Enfermedades Neurodegenerativas de la Fundación de Investigación Oftalmológica Fernández Vega. –La DMAE es una...
DMAE, agudeza visual, calidad de vida y el día a día
DMAE, agudeza visual, calidad de vida y el día a día Esta revisión sistemática recientemente publicada ha confirmado el devastador impacto de la degeneración macular asociada a la edad (DMAE) en la calidad de vida (QoL) y la capacidad visual. Esta enfermedad de alta...
Apreciable recuperación visual tras el tratamiento optogenético GS030
Apreciable recuperación visual tras el tratamiento optogenético GS030. Segundo caso de una paciente con retinosis pigmentaria (RP) en etapa tardía que recuperó parcialmente su función visual después del tratamiento con terapia optogenética GS030. Es un comunicado de...








