La rehabilitación visual ayuda a las personas con discapacidad visual a desenvolverse en la vida
La rehabilitación visual ayuda a las personas con discapacidad visual a desenvolverse en la vida Cuando el cardiólogo Joseph Fontenot, de Alabama, tenía 50 años, se dio cuenta de que la imagen de la pantalla del cine no parecía nítida. "Supongo que ya no hacen las...
Resultados positivos de Zimura® (avacincaptad pegol) para el tratamiento de la atrofia geográfica (DMAE)
Resultados positivos de Zimura® (avacincaptad pegol) para el tratamiento de la atrofia geográfica (DMAE) IVERIC bio, Inc. ha anunciado hoy los resultados positivos de GATHER2, el segundo ensayo clínico de fase 3 de la compañía con Zimura® (avacincaptad pegol), un...
Vamos a hablar durante un minuto de la enfermedad de Best
Vamos a hablar durante un minuto de la enfermedad de Best Vídeo del doctor Enrique Rodriguez de la Rua, jefe del servicio de oftalmología del HUVM. La enfermedad de Best es una distrofia macular muy rara. Es decir, es una enfermedad macular hereditaria que afecta a la...
ophNdi, una nueva terapia génica para la DMAE centrada en la función mitocondrial
Una nueva terapia génica para la DMAE, ophNdi, que se centra en la función mitocondrial de las células disfuncionales Investigadores de la Facultad de Genética y Microbiología del Trinity College de Dublín han desarrollado una nueva terapia génica prometedora para el...
Primer paciente tratado con una nueva molécula pequeña (EA-2353) para todos los tipos de retinosis pigmentaria
Endogena Therapeutics ha tratado al primer paciente con una nueva molécula pequeña (EA-2353), para todos los tipos de retinosis pigmentaria, que activa selectivamente las células madre y progenitoras endógenas de la retina, que se diferencian en fotorreceptores y...
Pegcetacoplan mejora resultados en los estudios de fase 3 DERBY y OAKS para Atrofia Geográfica (DMAE seca)
Pegcetacoplan mejora resultados en los estudios de fase 3 DERBY y OAKS para Atrofia Geográfica (DMAE seca) El efecto del tratamiento con Pegcetacoplan se aceleró entre los meses 18 y 24, demostrando una sólida reducción del crecimiento de las lesiones de Atrofia...
Oftalmopatía de Graves (Enfermedad Tiroidea Ocular – TED)
Oftalmopatía de Graves (Enfermedad Tiroidea Ocular - TED) Sinónimos de la Enfermedad Tiroidea Ocular: Enfermedad ocular de Graves Orbitopatía de Graves TED Discusión general Resumen La Enfermedad Tiroidea Ocular es una enfermedad rara caracterizada por la inflamación...
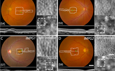
Una nueva técnica de imagen revela detalles imperceptibles sobre la distrofia macular viteliforme (BEST1, PRPH2, IMPG1, IMPG2)
Una nueva técnica de imagen revela detalles imperceptibles sobre la distrofia macular viteliforme (BEST1, PRPH2, IMPG1, IMPG2) Mediante una nueva técnica de imagen, investigadores del Instituto Nacional del Ojo han comprobado que las lesiones retinianas de la...
Los suplementos nutricionales pueden ralentizar la progresión de la Degeneración Macular Asociada a la Edad (DMAE)
Los suplementos nutricionales pueden ralentizar la progresión de la Degeneración Macular Asociada a la Edad (DMAE), según confirma un estudio de los Institutos Nacionales de Salud (NIH) Los Estudios de Enfermedades Oculares Relacionadas con la Edad (AREDS y AREDS2)...
Primer paciente con Stargardt dosificado en ensayo clínico fase 2 STARLIGHT de terapia génica optogenética con MCO-010
Primer paciente con Stargardt dosificado en ensayo clínico fase 2 STARLIGHT de terapia génica optogenética con MCO-010 Según Nanoscope Therapeutics, se esperan datos de seguridad y eficacia a los 6 meses en el primer trimestre de 2023. La terapia génica MCO-010...









