Visible Genomics inicia una prueba de ADN para la degeneración macular relacionada con la edad (DMAE)
Visible Genomics inicia una prueba de ADN para la degeneración macular relacionada con la edad (DMAE) Visible Genomics, una compañía de pruebas genéticas del área de Chicago, ha anunciado el lanzamiento de una nueva prueba genética no invasiva del ojo que, según la...
Un medicamento para Parkinson puede mejorar la visión en pacientes con DMAE
Un medicamento para la enfermedad de Parkinson puede mejorar la visión en pacientes con degeneración macular relacionada con la edad (DMAE) Investigadores han comprobado que al tratar a los pacientes que tienen una forma avanzada de degeneración macular relacionada...
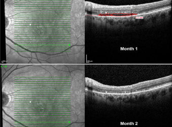
Nueva esperanza para la DMAE
Nueva esperanza para la DMAE Se ha creado un equipo de trabajo para desarrollar un nuevo tratamiento para la degeneración macular relacionada con la edad (DMAE). El Karolinska Institutet y el Hospital Oftalmológico...
Radar Covid, una herramienta útil en la lucha contra la pandemia
Llega la aplicación Radar Covid, una herramienta útil en la lucha contra la pandemia ocasionada por la COVID-19 La aplicación permitirá a los usuarios conocer su nivel de exposición al virus SARS-CoV-2, notificar de forma anónima si su diagnóstico es positivo y...
Ocugen obtuvo la designación de fármaco huérfano para la terapia génica OCU-400
Ocugen obtuvo la designación de fármaco huérfano para la terapia génica OCU400 Ocugen anunció que la Administración de Alimentos y Medicamentos de EE.UU. concedió la tercera designación de medicamento huérfano al OCU400 para el tratamiento de la degeneración de la...
El tabaquismo, asociado con una aparición más temprana de la DMAE húmeda
El tabaquismo, asociado con una aparición más temprana de la DMAE húmeda Se ha hecho un estudio sobre el tabaquismo y los resultados del tratamiento de la degeneración macular neovascular relacionada con la edad (DMAE) durante 12 meses. ¿Qué...
Primer paciente dosificado en el ensayo de fase 1/2 de 4D-125 para la retinosis pigmentaria ligada al cromosoma X
4D Molecular Therapeutics anuncia el primer paciente dosificado en el ensayo de fase 1/2 de 4D-125 para el tratamiento de la retinosis pigmentaria ligada al cromosoma X. 4D Molecular Therapeutics (4DMT), anunció que el primer paciente ha sido dosificado en la fase 1/2...
Falta de accesibilidad y necesidad de adaptación para las personas sordociegas
Falta de accesibilidad y necesidad de adaptación para las personas sordociegas Estas reflexiones están hechas a título personal, por una persona sordociega de Sevilla: Carmen Álvarez Núñez. Exponer ante todo, que estas sugerencias son personales y propias y pueden ser...
APP de apoyo a la seguridad de los pacientes en las consultas de los servicios médicos
APP de apoyo a la seguridad de los pacientes en las consultas de los servicios médicos La pandemia provocada por el Covid-19 y la situación que se está produciendo en la época del post Covid-19 suponen una dificultad muy grave para el correcto seguimiento asistencial...
Descubren un paso crítico preliminar del proceso visual
Descubren un paso crítico preliminar del proceso visual Los componentes clave de las conexiones eléctricas entre los receptores de luz en el ojo y el impacto de estas conexiones en los primeros pasos del procesamiento de la señal visual han sido identificados por...









